Deep Learning Models for Lung Segmentation in Chest X-ray Radiographs
Description
Introduction: We present a collection of lung segmentation models designed for accurate analysis of chest X-ray (CXR) images. These models have undergone rigorous training, validation, hyperparameter tuning, and testing on a diverse dataset consisting of CXRs from three publicly available sources: the Darwin, Montgomery, and Shenzhen datasets.
Dataset Description: The dataset includes CXRs from patients diagnosed with various respiratory diseases, including COVID-19, pneumonia, and tuberculosis. While these conditions differ in nature and disease patterns, we intentionally included them in the training data to improve the ability of the models to generalize across a range of pathologies. The dataset is summarized in Table 1 and publicly available at https://data.mendeley.com/datasets/8gf9vpkhgy/2.
Model Selection: In our model selection process for lung segmentation, we rigorously evaluated several state-of-the-art models, including U-net, U-net++, DeepLabV3, DeepLabV3+, FPN, Linknet, PSPNet, PAN, and MA-Net. These models were trained and tested on a Linux machine equipped with an NVIDIA GeForce RTX 3090 boasting 24 GB of memory. The training procedure closely followed the methodology described in the paper "Automatic scoring of COVID-19 severity in X-ray imaging based on a novel deep learning workflow", specifically as outlined in the Model Training section.
Model Comparison: After a thorough evaluation, DeepLabV3+ emerged as our top choice. It exhibited exceptional performance with a DSCtest score of 0.963, while maintaining computational efficiency with a total of 7.4 million parameters and 2.2 billion MACs. This combination of high performance and computational efficiency solidified its position as the optimal model for our lung segmentation task.
In Table 2, we provide a comprehensive overview of the performance metrics for each model, including batch size, memory usage, parameters, and MACs. Additionally, we present the DSC values, enabling a detailed comparison of each model's performance across the training, validation, and testing phases.
Requirements: The models were originally trained and tested using PyTorch v1.8.1 and timm v0.3.2. Subsequently, we conducted additional tests on PyTorch v1.13.1 and timm v0.6.12, and all models performed well. However, it's worth noting that Linknet and PSPNet encountered errors on the latter version and are not compatible with it.
Access to the Study: Further information about this study, including curated source code, dataset details, and trained models, can be accessed through the following repositories:
- Source code: https://github.com/ViacheslavDanilov/covid_scoring
- Dataset (Lung segmentation): https://data.mendeley.com/datasets/8gf9vpkhgy/2
- Dataset (COVID-19 segmentation): https://data.mendeley.com/datasets/36fjrg9s69/1
- Models: https://doi.org/10.5281/zenodo.8393555
Table 1. Description of the datasets used for lung segmentation
| Dataset | Training | Validation | Testing | Total |
|---|---|---|---|---|
| Darwin | 4884 | 611 | 611 | 6106 / 90% |
| Montgomery | 110 | 14 | 14 | 138 / 2% |
| Shenzhen | 452 | 57 | 57 | 566 / 8% |
| Total | 5446 / 80% | 682 / 10% | 682 / 10% | 6810 / 100% |
Table 2. Results of the fully trained lung segmentation networks
| Model | Batch size | Memory, Gb | Parameters, M | MAC, G | DSCtrain | DSCval | DSCtest |
|---|---|---|---|---|---|---|---|
| U-net | 24 | 21 | 55.9 | 35.6 | 0.960 | 0.960 | 0.962 |
| U-net++ | 32 | 24 | 9.1 | 11.5 | 0.956 | 0.959 | 0.960 |
| DeepLabV3 | 16 | 24 | 7.3 | 13.4 | 0.960 | 0.960 | 0.961 |
| DeepLabV3+ | 20 | 22 | 7.4 | 2.2 | 0.962 | 0.960 | 0.963 |
| FPN | 32 | 23 | 5.8 | 9.1 | 0.962 | 0.960 | 0.962 |
| Linknet | 24 | 24 | 29.3 | 39.9 | 0.965 | 0.959 | 0.961 |
| PSPNet | 40 | 23 | 29.7 | 14.4 | 0.959 | 0.959 | 0.960 |
| PAN | 32 | 24 | 4.1 | 0.3 | 0.961 | 0.960 | 0.962 |
| MA-Net | 24 | 24 | 13.4 | 9.9 | 0.956 | 0.959 | 0.961 |
Files
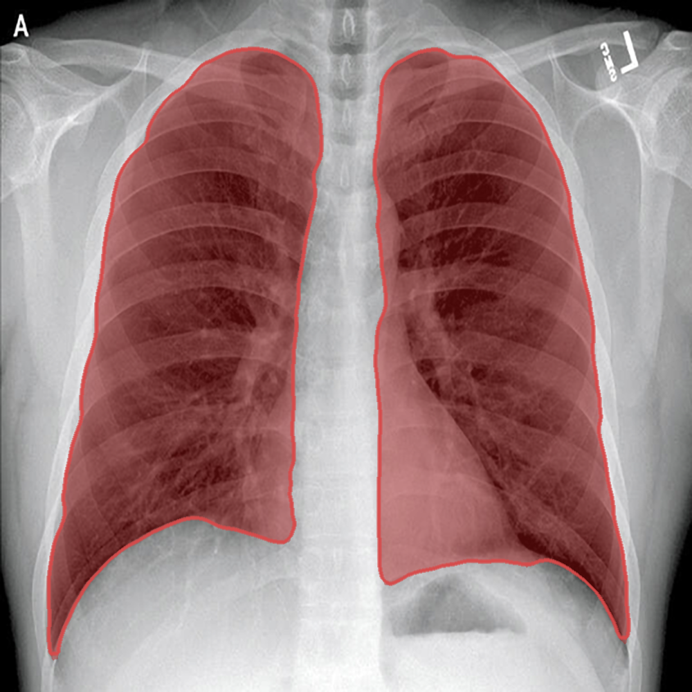
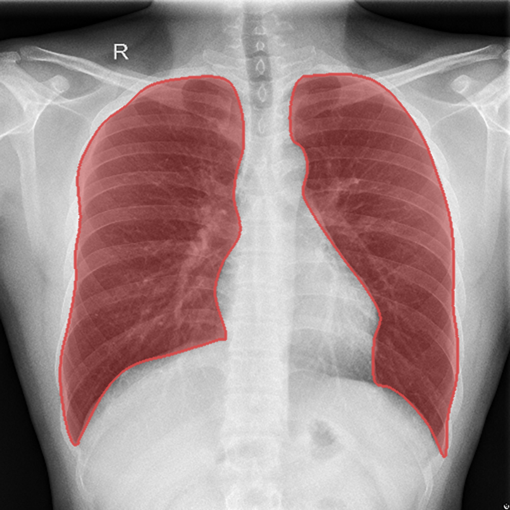
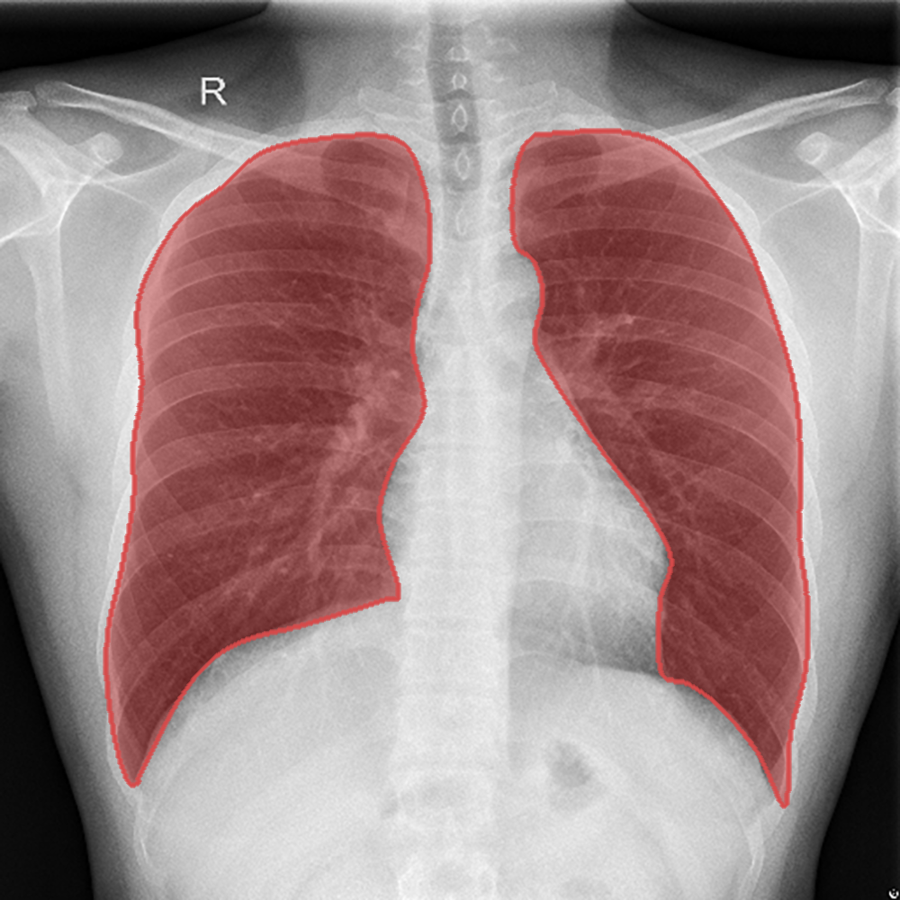
Segmentation example - Shenzhen.png
Files
(606.7 MB)
| Name | Size | Download all |
|---|---|---|
|
md5:a4cbed03b0eb0ca92dd2a42c505065b2
|
27.8 MB | Preview Download |
|
md5:cc3f4cce83c4bf55d1dd83673931f72a
|
27.3 MB | Preview Download |
|
md5:467682e5d9a08de5e1edcc3e7515ae59
|
21.5 MB | Preview Download |
|
md5:45553b1a3995a9494aab4af863f01f8d
|
109.2 MB | Preview Download |
|
md5:115cf4c742aa053c9b491fb7f162c0ad
|
50.1 MB | Preview Download |
|
md5:78b9be090f7fa3533a6cf7fa52f2640a
|
15.4 MB | Preview Download |
|
md5:58d0aca4c702b7ede505b8cde7962515
|
110.9 MB | Preview Download |
|
md5:e71c400ca9a1adf99beeb4aa8f857250
|
876.9 kB | Preview Download |
|
md5:d7d9335826c1077751e299d256fdfd8c
|
569.6 kB | Preview Download |
|
md5:5538042b52f1e7c38d69df3f4dd4b42b
|
637.6 kB | Preview Download |
|
md5:f91e7fd2ba9259a9b01f05541d4f648a
|
34.0 MB | Preview Download |
|
md5:9ddfcf1d5cf1927dd095b7ca333c6350
|
208.4 MB | Preview Download |
Additional details
Identifiers
Related works
- Is part of
- Journal article: 10.1093/radadv/umae003 (DOI)
Software
- Repository URL
- https://github.com/ViacheslavDanilov/covid_scoring
- Programming language
- Python
- Development Status
- Active