Published November 17, 2022 | Version v1
Figure Open

Figure S1

  • 1. Mahidol University

Description

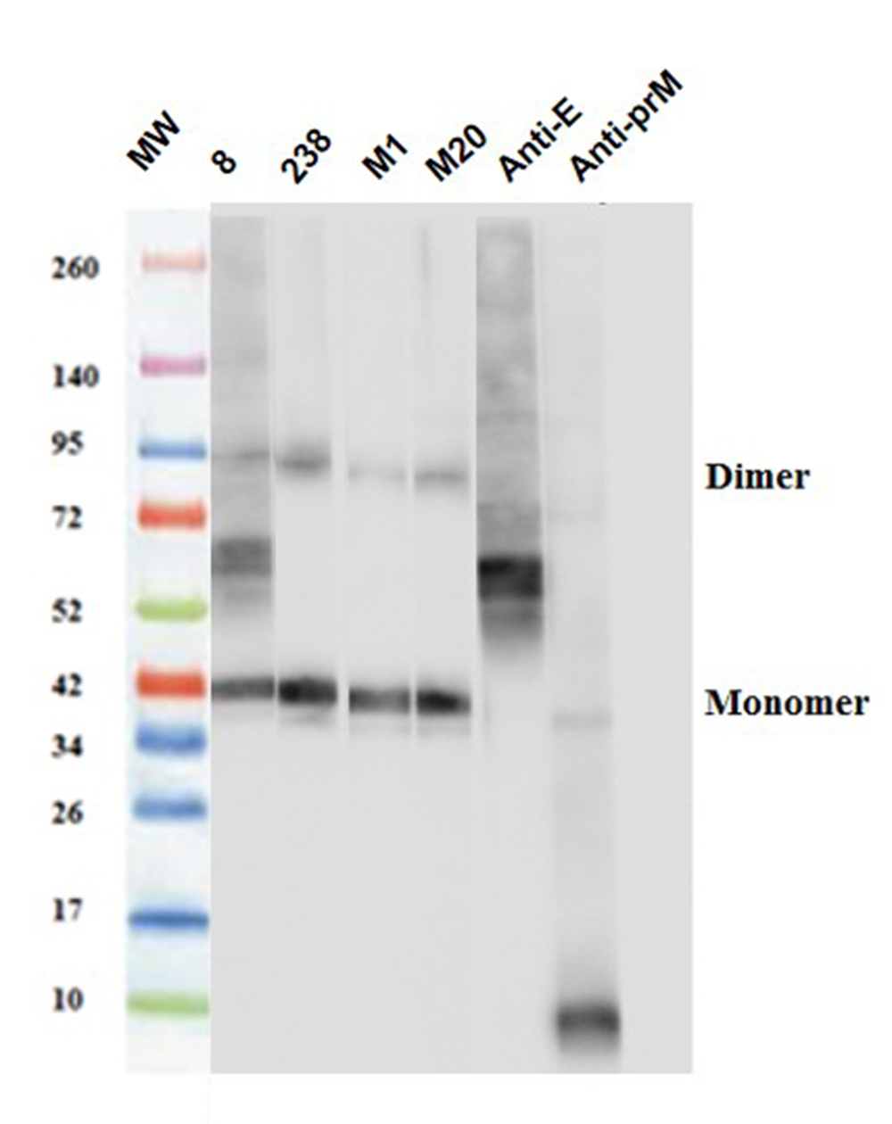
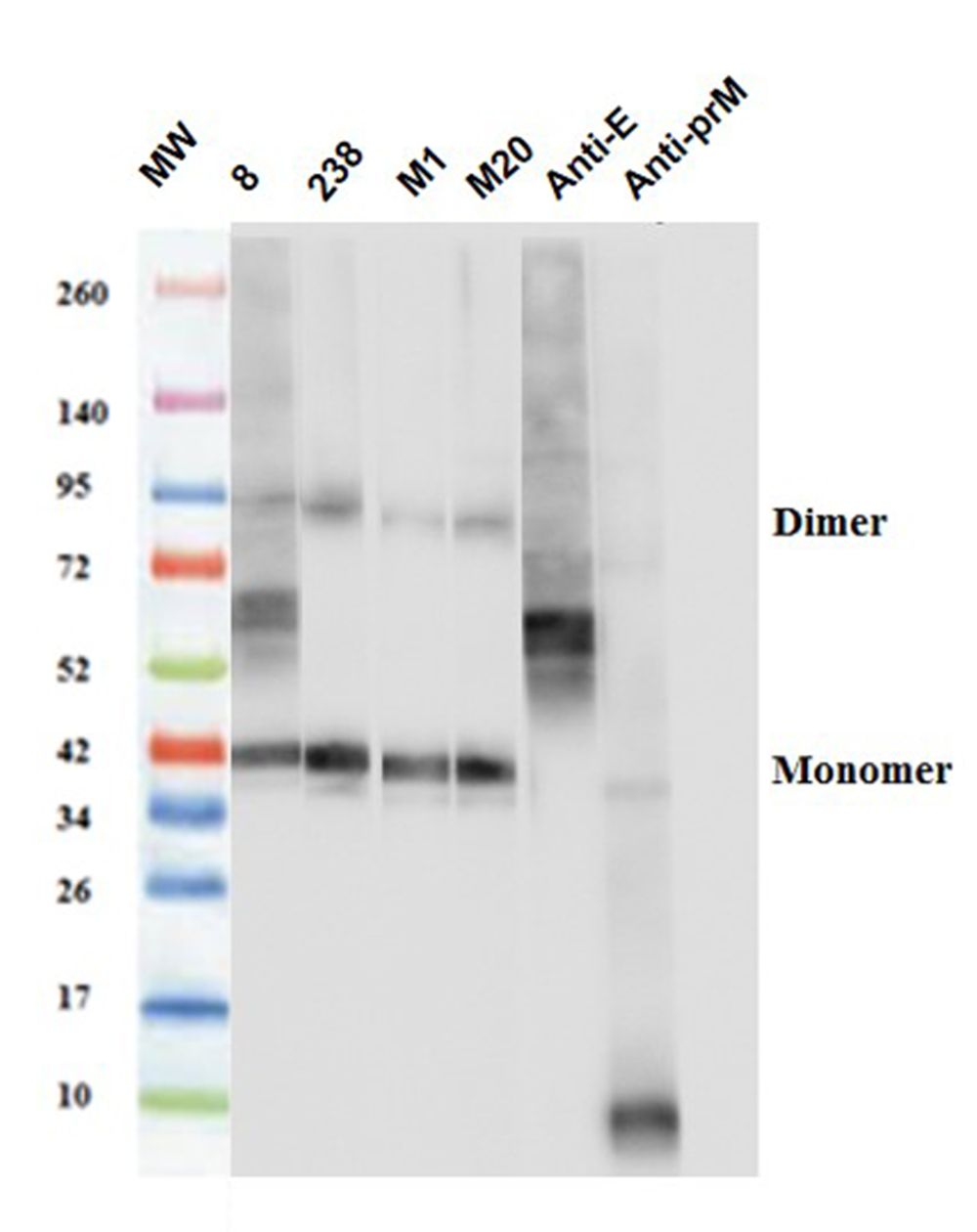
Figure S1. Western blot analysis of DENV2 infected C6/36 cell with HuMAbs. Cell lysates were loaded on the polyacrylmide gel and electro-separated. Then, the proteins were transfered to PVDF membrane. Four HuMAbs were analysed. Lane 8 is HuMAb 8; Lane 238 is HuMAb 238; Lane M1 is HuMAb M1; Lane M20 is HuMAb M20. Lane Anti-E is cell lysate reacted with antibody specific to Envelop protein. Lane Anti-prM is cell lysate reacted with antibody specific to prM protein. The binding of anti-NS1 HuMAbs with C6/36 infected with DENV2 showed 2 bands at approximately 42 kDa for NS1 monomer and 90 kDa for dimer. HuMAb 8 showed 3 bands of NS1 monomer and dimer and approximately 60 kDa for E protein. 

Files

Figure S1.jpg

Files (275.4 kB)

Name Size Download all
md5:f7fa3bedc59563829c4ba39fc322898f
275.4 kB Preview Download