Published June 30, 2012 | Version v1
Figure Open

FIG. 5 in A new, sibling species of cave flatworm from Switzerland (Platyhelminthes, Tricladida, Dendrocoelidae)

Creators

  • 1. Netherlands Centre for Biodiversity Naturalis (section ZMA) & Institute for Biodiversity and Ecosystem Dynamics, University of Amsterdam, P.O. Box 9514, 2300 RA Leiden, The Netherlands.

Description

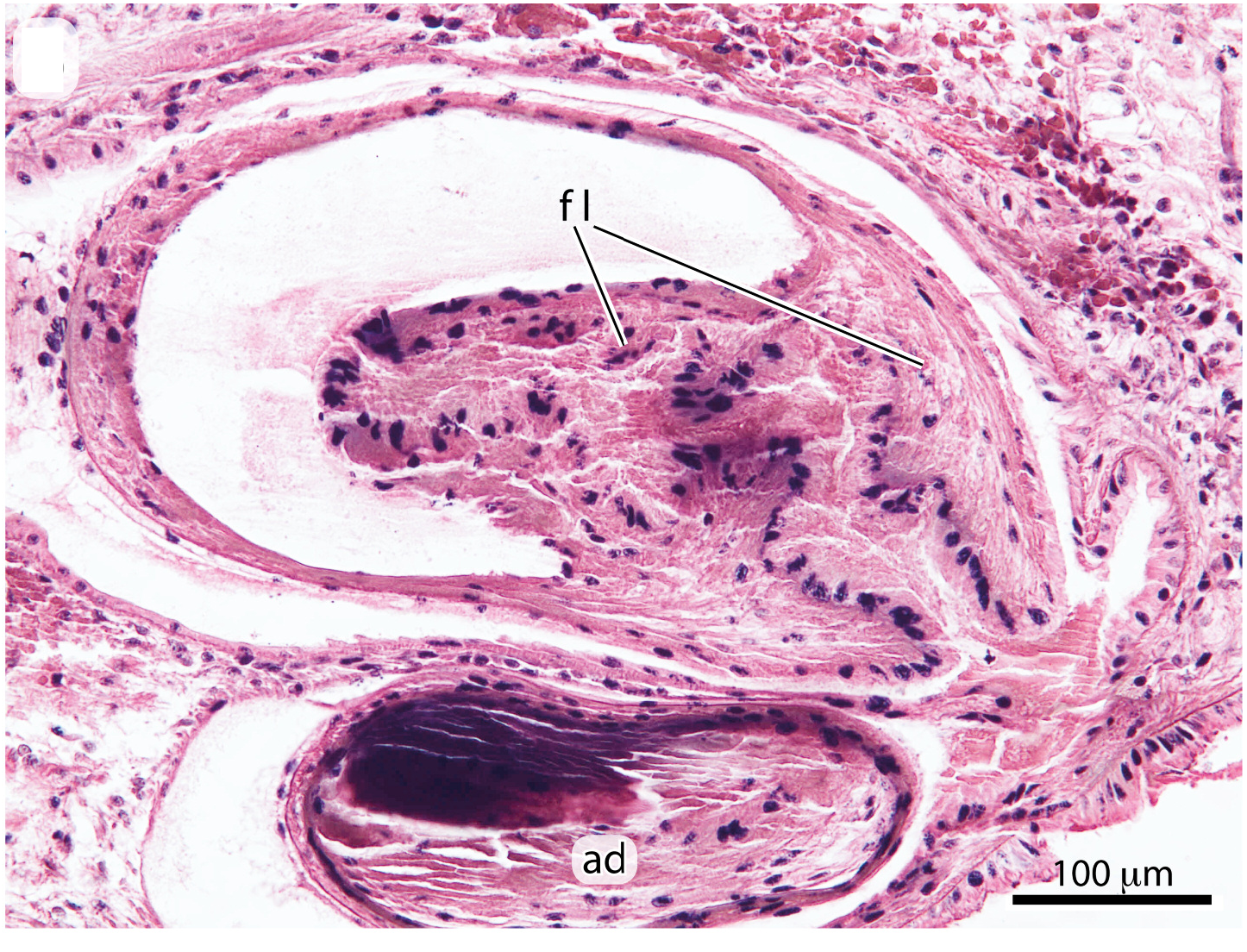
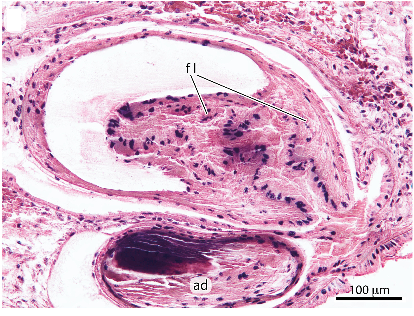
FIG. 5 Dendrocoelum stenophallus (MNHN AJ 275-276). Microphotograph of flagellum on the penis papilla.

Notes

Published as part of Sluys, Ronald, 2012, A new, sibling species of cave flatworm from Switzerland (Platyhelminthes, Tricladida, Dendrocoelidae), pp. 181-188 in Revue suisse de Zoologie 119 (2) on page 186, DOI: 10.5962/bhl.part.150024, http://zenodo.org/record/5822875

Files

figure.png

Files (4.0 MB)

Name Size Download all
md5:092cc7b8e59aee82618fcc33857822c6
4.0 MB Preview Download

Linked records

Additional details