Published August 31, 2015 | Version v1
Figure Open

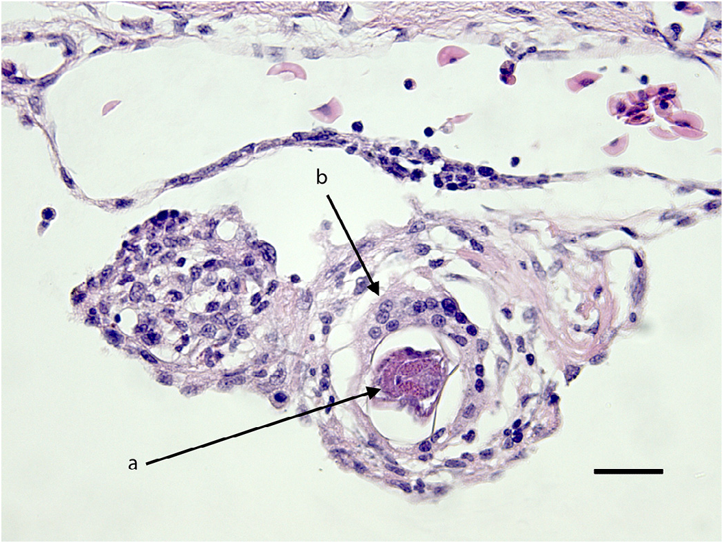
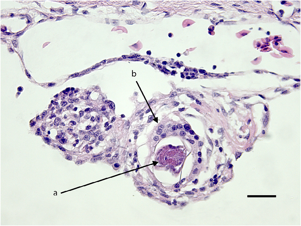
Fig. 1. Histological image depicting a in Host-parasite interactions during a biological invasion: The fate of lungworms (Rhabdias spp.) inside native and novel anuran hosts

  • 1. School of Biological Sciences A08, University of Sydney, NSW 2006, Australia
  • 2. Berrimah Veterinary Laboratories, Department of Primary Industry and Fisheries, Makagon Rd, NT 0828, Australia

Description

Fig. 1. Histological image depicting a transverse section of (a) R. hylae larva in the connective tissue of the head of a cane toad and (b) the inflammatory response composed primarily of macrophages and multinucleated giant cells surrounding the parasite. Haematoxylin and eosin stain, 400× magnification, scale bar equals 30 μm.

Notes

Published as part of Nelson, Felicity B.L., Brown, Gregory P., Shilton, Catherine & Shine, Richard, 2015, Host-parasite interactions during a biological invasion: The fate of lungworms (Rhabdias spp.) inside native and novel anuran hosts, pp. 206-215 in International Journal for Parasitology: Parasites and Wildlife 4 (2) on page 208, DOI: 10.1016/j.ijppaw.2015.04.001, http://zenodo.org/record/12837214

Files

figure.png

Files (1.9 MB)

Name Size Download all
md5:a421853001f22e99fab17a93d1748b4c
1.9 MB Preview Download

Linked records

Additional details

Related works

Is part of
Journal article: 10.1016/j.ijppaw.2015.04.001 (DOI)
Journal article: urn:lsid:plazi.org:pub:FF9FFFDC3E50DC1AFFD4FFF1F8620A76 (LSID)
Journal article: https://zenodo.org/record/12837214 (URL)