Datasets relating to characterisation of Jumping Spider Rhodopsin-1 after reconstitution with retinal and retinal analogues
Description
001 - UV-Vis spectra JSR1 reconstituted with all-trans retinal, 9-cis retinal, ATR6.11 and 9CR6.11
002 - UV-Vis spectra of JSR1 reconstituted with ATR6.11 and 9CR6.11, before and after acid denaturation
003 - UV-Vis spectra of JSR1 reconstituted with ATR6.11, after addition of hydroxylamine
004 - UV-Vis spectra of JSR1 reconstituted with 9CR6.11, after addition of hydroxylamine
005 - UV-Vis spectra of illuminated JSR/ATR6.11 and JSR/9CR6.11
006 - GTPase Glo Assay data measuring catalysis of nucleotide exchange in human G protein heterotrimers by JSR1/ATR6.11, JSR/9CR6.11 and JSR/9-cis retinal, with and without illumination
007 - Size exclusion chromatograms JSR1/ATR6.11 after incubations with human Gi or human Gq heterotrimers
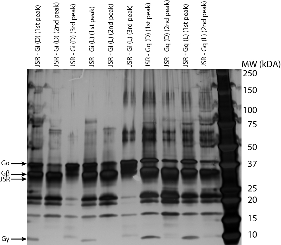
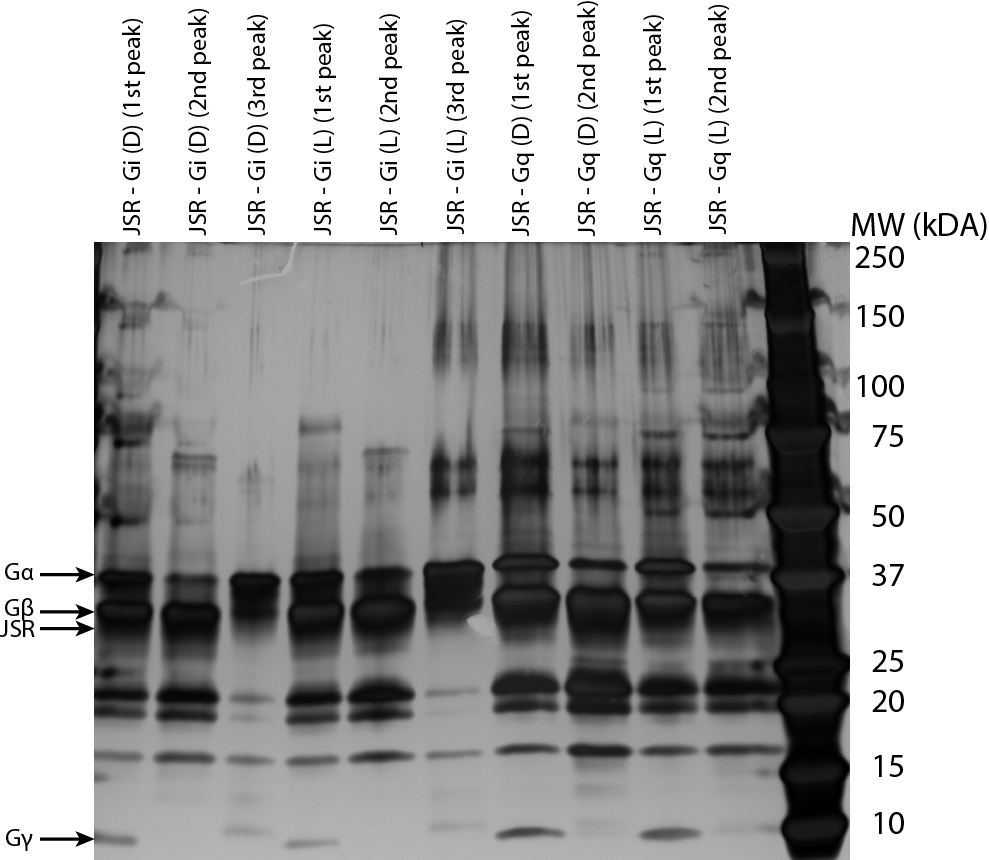
008 - SDS-PAGE analysis of size exclusion chromatography peaks with JSR/ATR6.11 and human Gi or human Gq heterotrimers
Files
003_JSR231120_AT611_dil2x.txt
Files
(1.2 MB)
Name | Size | Download all |
---|---|---|
md5:d43ee5b633e2e2805f3238251bf8c44b
|
18.9 kB | Preview Download |
md5:05a0061e72f650af9fafbbdc809d0216
|
15.7 kB | Preview Download |
md5:5951cf6c86a28886bfe43709a8675f06
|
18.8 kB | Preview Download |
md5:5e129f9faaddc05bd326cf264ea2114f
|
15.6 kB | Preview Download |
md5:5eefa6594b04fe1bfc99ac9a1903578c
|
16.0 kB | Preview Download |
md5:cb266ffbeaba9933af407e90fa583d35
|
15.8 kB | Preview Download |
md5:c40cf5278f7a82d5ea89212e943813b5
|
71.7 kB | Preview Download |
md5:231155c4ff4eeee4f67801a81a2cbfb2
|
48.6 kB | Preview Download |
md5:53e0c76f88603547f3f3a4483bbb4f78
|
32.4 kB | Download |
md5:5a0e7c37eb7a5714daf43a756099aa8c
|
4.2 kB | Download |
md5:f3cc74d275970a27db6dcc9740a10fac
|
3.7 kB | Download |
md5:8dc2ade55a973b0d9df3122e79011af5
|
2.0 kB | Download |
md5:0945417bd360101f9d77c93b80ae2eb6
|
14.1 kB | Preview Download |
md5:e7b3c82fba799ea3173c09debf02a519
|
12.9 kB | Preview Download |
md5:c4dde4726479499c3ab1374feb286e6e
|
13.5 kB | Preview Download |
md5:d486fc1411b9344532f5419e85b9f1fd
|
13.4 kB | Preview Download |
md5:8eac8d8906c02e628446d1291ae71165
|
9.1 kB | Preview Download |
md5:8defa1997f48b3f585f792e1363bf17c
|
9.1 kB | Preview Download |
md5:d764800d04572a89b513dcd333aa5ef6
|
9.1 kB | Preview Download |
md5:5dd77f7dd214c2db1160ed7bc02f82ff
|
9.1 kB | Preview Download |
md5:97d270046256a531dec918a0fdefa9a7
|
9.1 kB | Preview Download |
md5:9fbd9779700a3c7fb17433ea7cc7f418
|
9.1 kB | Preview Download |
md5:6d0e8ef16a02d8e9e910d8a2785984c2
|
9.1 kB | Preview Download |
md5:729bebbd42155289734e26d24d4047c9
|
9.2 kB | Preview Download |
md5:50c035fc91dbdeab7aa1d7b5eda31f04
|
9.1 kB | Preview Download |
md5:43e08a2a9829ee34905c7f45df9b139b
|
224.3 kB | Preview Download |
md5:1b7204cedeab83c733acc98a9b06c8b3
|
9.1 kB | Download |
md5:cabaf36c8a3f68685c5a6f2139255f1d
|
9.1 kB | Preview Download |
md5:df513e7451231b2fed952bd117edaf0e
|
9.1 kB | Preview Download |
md5:791568c0dde1fbdcc7a3ea9fa44b12f0
|
9.1 kB | Preview Download |
md5:0af6c614d149537be09d5aa97a768629
|
9.1 kB | Preview Download |
md5:bd693362dc6688ea4e4fe35cfb229481
|
9.1 kB | Preview Download |
md5:f0e72ddab4563bc21dd5c70db1f205df
|
9.1 kB | Preview Download |
md5:b2c632ae50e080211f079b6486f3851b
|
9.1 kB | Preview Download |
md5:5a40f7922ef47a6722ae580718df7b88
|
186.3 kB | Preview Download |
md5:65e8db87915913e842cb3be853d1b14e
|
2.7 kB | Download |
md5:89a59164cac7c502ad910e4919370ce5
|
3.8 kB | Download |
md5:9aa8e6b996d819c990c8e33fd4aa9aa8
|
14.1 kB | Preview Download |
md5:79de7cf23108b8a4b23013edd7464ee8
|
273.0 kB | Preview Download |
Additional details
Related works
- Is documented by
- Preprint: https://www.biorxiv.org/content/10.1101/2024.04.08.588240v1 (URL)