Published May 23, 2024 | Version v1
Dataset Open

A Blood Dataset from Camelyon 17

  • 1. University of Granada
  • 2. ROR icon University of Stavanger
  • 3. Universidad de Granada

Description

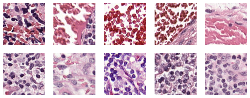
This dataset is a subset of the Camelyon-17 Breast Cancer Challenge. It contains 224x224 H&E histological image patches where blood has been detected. It was originally sampled to validate the blood detection capabilities of the method presented in [1]. Blood was manually identified by a trained technician.

If you use this dataset, please cite:

Pérez-Bueno, F., Engan, K., Molina, R. (2024). Robust blind color deconvolution and blood detection on histological images using Bayesian K-SVD. In: Journal of Artificial Intelligence in Medicine. https://doi.org/10.1016/j.artmed.2024.102969 [bibtex]

Pérez-Bueno, F., Engan, K., Molina, R. (2023). A Robust BKSVD Method for Blind Color Deconvolution and Blood Detection on H&E Histological Images. In: Artificial Intelligence in Medicine. AIME 2023, vol 13897. https://doi.org/10.1007/978-3-031-34344-5_25    [bibtex]

and the original publication for the Camelyon-17 Challenge (see details on the challenge website)

Summary:

  • 25 images from center_0 
    • 7786 tissue patches
    • 527 blood patches
    • 104 patches of other artifacts (such as blur, folded tissue, image borders, cauterized, etc. Not labeled)

The folder structure is as follows:

center/image_id/pathology_label/patch_label/

pathology_label can take the following values:

  • annotated: the patch comes from a tumor annotated region (see details in Camelyon-17 Challenge)
  • no_annotated: the patch comes from a non-tumor slide (negative stage label)
  • unknown: the patch comes from a slide with a tumor stage label which is not annotated.

patch_label can take the following values:

  • tissue: no blood or less than ~25% of blood
  • blood: more than ~25% blood
  • other: the patch has a significant amount (>~25%) of pixels that are nor tissue nor blood.

Patches are sampled at the maximum resolution available 40x, and the filename includes the starting pixel in the x and y dimension. For the original .tiff images at high quality, please refer to the Camelyon-17 Challenge.

The license for this dataset is CC0 following the Camelyon-17 license.

Files

BloodCamelyon.png

Files (95.5 MB)

Name Size Download all
md5:2d31a0cb5a4e72183adf61343cf6940e
473.9 kB Preview Download
md5:507952361f9766254f7b09687b77a137
95.0 MB Preview Download